"الصحة": وجوب فحص السل الكامن ضمن إجراءات الإقامة
د.محمد الصبادي :
غالبية الإصابات نتيجة إعادة التنشيط لإصابة سابقة حدثت في البلد الأم
أعلنت وزارة الصحة عن تفعيل خدمة فحص السل الكامن ضمن إجراءات فحص اللياقة الطبية للعمالة الوافدة، عن طريق أخذ عينة دم في أحد مراكز القطاع الخاص المعتمدة لإجراء الفحص، وإذا ثبت ظهور نتيجة إيجابية ستصل رسالة نصية لإجراء أشعة صدر، والتوجه إلى أحد المراكز الخاصة المعتمدة لإجراء هذه الأشعة على أن يقوم بعدها بمراجعة مركز فحص اللياقة الطبية الحكومية في المنطقة التابع لها، وسيقيّم الطبيب الحالة، ثم يبدأ المريض تلقي العلاج المجاني من قبل وزارة الصحة، مع التأكيد أن تكملة إجراءات فحص السل الكامن يجنب الأيدي العاملة الوافدة مساءلة الجهات المختصة.
وقال الدكتور محمد بن سالم الصباري، مدير مشروع فحص وعلاج السل الرئوي الكامن رئيس شؤون مختبرات الصحة العامة بوزارة الصحة: إن علاج السل الكامن هو أحد المشروعات المندرجة تحت ركيزة الوقاية وهي إحدى ركائز الاستراتيجية الوطنية للقضاء على السل التي تمت الموافقة عليها وتدشينها بتاريخ 24 مارس 2021، إذ يهدف إلى الإسهام في خفض معدل الإصابة بالسل للوصول إلى مرحلة ما قبل القضاء على السل حيث يشكل الوافدون أكثر من 90% من المصابين بالسل الرئوي في سلطنة عمان.
وأشار إلى أن غالبية إصابات الوافدين تحدث نتيجة إعادة التنشيط في إصابة سابقة حدثت في البلد الأم خاصة الدول الموبوءة والتي تمثل غالبية العمالة في سلطنة عمان، وقد أجريت دراسة محلية بالتعاون مع أحد الخبراء من اليابان لدراسة أفضل النماذج في خفض نسبة الإصابة في سلطنة عمان ووجدت الدراسة أن الفحص وعلاج الوافدين عند الوصول هو الأكثر فاعلية حيث تساعد هذه المبادرة في علاج الإصابة وقطع حلقة الانتشار في المجتمع، كما أن العلاج في الفئات الأكثر عرضة للمخاطر ومنهم الوافدون إحدى توصيات منظمة الصحة العالمية للدول ذات معدلات الإصابة المنخفضة والتي تتبنى استراتيجية القضاء على السل، وتعمل بهذه الآلية الكثير من الدول الأوروبية ذات معدلات الإصابة المنخفضة حيث تتمركز غالبية الإصابات في الوافدين.
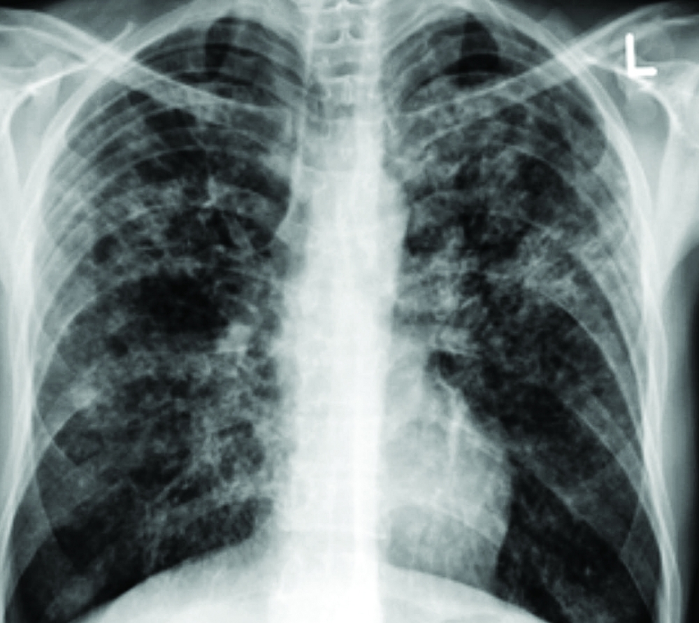
مشيرًا إلى أن معايير التشخيص تكمن في عدم وجود أعراض تنفسية لمرض السل النشط، وعادةً ما تكون صور الأشعة السينية للصدر طبيعية، بالإضافة إلى إيجابية فحص اختبار الـ"IGRA".
نتائج إيجابية
وأوضح أن النتائج الإيجابية لمرض السل الكامن لا تعني أن المرض معدٍ، إذ إن المرض يعني أن الشخص قد أصيب ببكتيريا السل في السابق، لكن البكتيريا الآن غير نشطة ولا تسبب أعراضًا، والأشخاص المصابون ليسوا معدين ولا يمكنهم نقل البكتيريا إلى الآخرين، مؤكدًا أن علاج السل الكامن يقدم كعلاج وقائي لمنع البكتيريا من أن تصبح نشطة وتتسبب في مرض السل النشط في المستقبل، ويعدّ المصابين حديثا عرضة للتحول للسل النشط خلال السنوات الأولى للإصابة من 2 ـ 5 سنوات، كما أوضحت الدراسات العلمية، أنه على الرغم من أن الأفراد المصابين ليسوا معدين حاليًا، إلا أن البكتيريا يمكن أن تصبح نشطة في ظل ظروف معينة، مثل تغيير الظروف المعيشية والضغوطات الاجتماعية وضعف الجهاز المناعي وكبر السن، ويوفر العلاج الوقاية من خطر الإصابة بمرض السل النشط والمعدي لنسبة تتجاوز 60%.
وأكد أن وزارة الصحة ستقدم العلاج المجاني لفئات محددة من العمال وفئات عمرية معينة، وبمجرد تشخيص الإصابة، ستقوم مراكز مكافحة الأمراض والوقاية في كل محافظة بمراجعة الحالة وتحديد أهلية العلاج وفقًا للإرشادات التي وضعتها وزارة الصحة.
وأضاف: أن أشعة الصدر تعد إجراء أساسيًا للأشخاص الذين ثبتت إيجابية فحص الـ"IGRA"، وذلك للتأكد من عدم وجود آثار عدوى في الرئتين وهي خطوة مهمة للتأكد من عدم وجود السل النشط، كما يتطلب عمل فحص وظائف الكبد قبل البدء في علاج السل الكامن لمعرفة خلو الكبد من أي أمراض لمتابعة العلاج بعد ذلك.
وقال: يجب على الكفيل والعامل معرفة الإجراءات المطلوبة لعمل الفحص وأهمية إكمال الإجراءات، بالإضافة إلى أهمية البدء وإكمال العلاج وحضور الزيارات الطبية حسب المواعيد، ومعرفة أعراض مرض السل النشط، وضرورة التوجه لأقرب مؤسسة صحية في حالة ظهور أعراض تنفسية.
